General Dentistry
Keep Your Smile Healthy
🦷 Comprehensive Dental Services Tailored to Your Smile
Scaling & polishing

Scaling is a dental procedure that removes plaque and hardened tartar (calculus) from the teeth and below the gum line. This treatment helps prevent gum disease and maintains healthy gums and teeth.
Benefits of Scaling:
Removes plaque and tartar buildup
Prevents gum disease and gum inflammation
Reduces bad breath
Improves overall oral health
Scaling is recommended at least once every 6 months, or more frequently if advised by the dentist.
RM120 (Full Mouth Scaling)
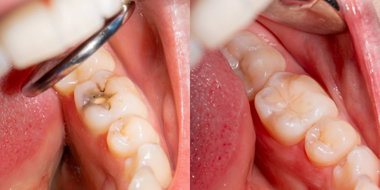
Dental Filling

Dental filling is a common dental treatment used to restore teeth that are damaged by decay or minor fractures. The decayed portion of the tooth is removed and the space is filled with a durable dental material to restore the tooth’s shape and function.
Benefits of Dental Filling:
Stops further tooth decay
Restores normal chewing function
Relieves tooth sensitivity or pain
Preserves the natural tooth structure
Types of Filling Available:
Tooth-coloured (composite) filling
Amalgam filling
Early treatment with dental filling helps prevent the need for more complex dental procedures in the future.
RM90 / per surface
Oral check-up

An oral check-up is a comprehensive dental examination to assess the overall condition of your teeth, gums, and oral tissues. It helps detect dental problems early before they become more serious.
What we check during an oral check-up:
Tooth decay (cavities)
Gum health
Oral infections or abnormalities
Existing dental restorations
Regular oral check-ups help maintain good oral health and prevent future dental problems.





