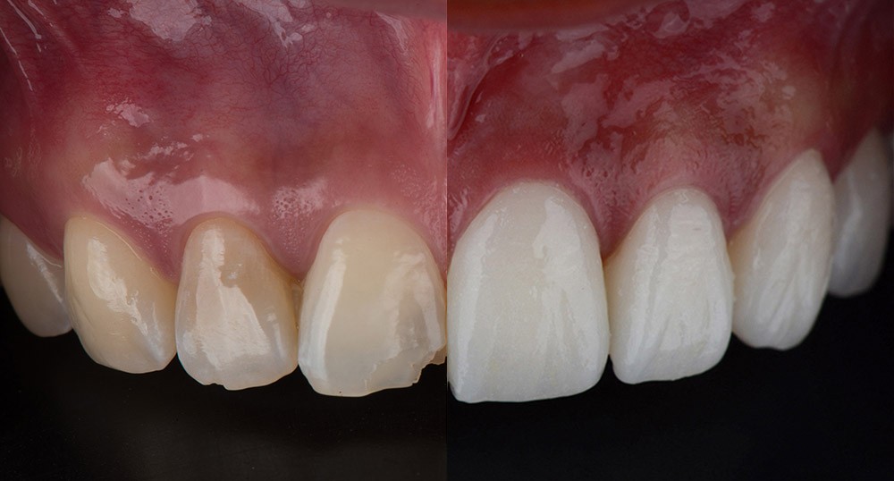
Cosmetic Dentistry
We also specialize in Periodontal Care for patients experiencing gum disease. Our treatments range from deep cleanings (scaling and root planing) to laser therapy and surgical options for advanced cases. Healthy gums are the foundation of a healthy mouth, and we work to reverse damage, reduce inflammation, and prevent tooth loss caused by gum disease.
🦷 Comprehensive Dental Services Tailored to Your Smile
Cosmetic Dentistry
Cosmetic dentistry focuses on improving the appearance of teeth and smile while maintaining oral health. These treatments are designed to enhance tooth colour, shape, alignment, and overall smile aesthetics.
Cosmetic Dentistry Includes:
Teeth whitening

Tooth-coloured fillings

Dental veneers

Smile enhancement treatments

Benefits of Cosmetic Dentistry:
Enhances smile appearance
Boosts confidence
Improves tooth colour and shape
Natural-looking results
Cosmetic dentistry is suitable for patients who wish to achieve a more attractive and confident smile.





